Colon Cancer Awareness: Why Early Detection Matters

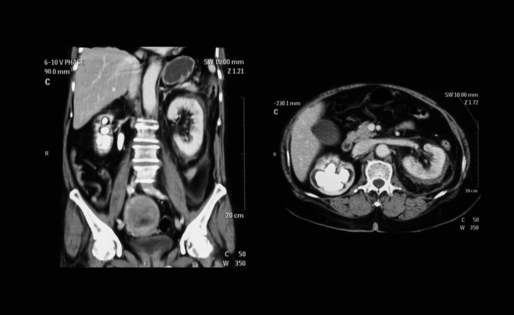
March is Colorectal Cancer Awareness Month, a time to highlight the importance of screening, prevention, and early detection. Colon cancer is the second leading cause of cancer-related deaths, yet it is also one of the most preventable cancers.